By Dr. Sarah Charney, DVM, DACVIM (Oncology), DACVR (Radiation Oncology), Co-owner, BBVSH
Veterinary cancer care is evolving—and one of the most exciting advances in recent years is the emergence of commercially available molecular diagnostics. These specialized tests allow veterinary oncologists to better understand what type of cancer a pet has, how it may behave, and which treatments are most likely to help.
At Boundary Bay Veterinary Specialty Hospital (BBVSH), our board-certified oncology team integrates these tools into treatment planning for complex cases—offering pet owners more clarity, and in many cases, more time with their animals. Lucy, a Labrador cross diagnosed with more than one type of cancer, is a remarkable example of how molecular diagnostics can inform decisions and improve outcomes.
This is Lucy’s story—and a look at how far veterinary oncology has come.
Lucy’s Journey with Cancer
In October 2010, Lucy presented to her veterinarian with a large pharyngeal mass (mass at the back of the throat) causing stertor (noisy breathing). A biopsy revealed a malignant round cell tumor. Round cell tumors are a broad category of cancers that include lymphoma, histiocytic sarcoma, melanoma, and mast cell tumors. Each type of tumor requires a unique treatment approach and has different expected outcomes.
To determine the tumor’s cell of origin, molecular diagnostics were employed. These are specialized tests that allow veterinarians to identify the exact type of cancer and select the best treatment plan.
Molecular Diagnostics Explained
Veterinary oncologists use several advanced tools to identify and monitor cancer. Here’s how they work:
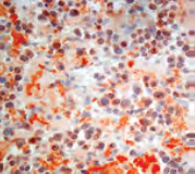
- Immunocytochemistry (ICC) and Immunohistochemistry (IHC): These tests use special dyes and antibodies to highlight specific markers on cancer cells, helping to identify the type of tumor. Think of it as a high-tech way to “tag” cells to understand their behavior.
- For Lucy, ICC and IHC confirmed she had T-cell lymphoma, a cancer of white blood cells.
- Flow Cytometry: This test analyzes live cells from a blood or lymph node sample to understand how many abnormal cells are present and their type. It’s like taking a snapshot of what’s happening in the immune system.
- PCR for Antigen Receptor Rearrangement (PARR): This genetic test identifies whether a growth is cancerous (neoplastic) or simply reactive (due to inflammation or infection). It also determines the type of cancer, such as B-cell or T-cell lymphoma.
These tools enable veterinarians to make precise diagnoses, which is essential for choosing the right treatment plan.

Tailored Treatment for T-Cell Lymphoma
Once diagnosed with T-cell lymphoma, Lucy’s owners were informed about her prognosis. While T-cell lymphomas typically have a poorer outlook compared to B-cell lymphomas, individual responses to treatment can vary significantly.
Lucy’s owners opted for chemotherapy, which involves administering medications to target and destroy cancer cells. In Lucy’s case, an aggressive, multi-drug protocol designed specifically for T-cell lymphoma was used.
Chemotherapy is often misunderstood. Many pet owners worry about side effects, but 80% of pets undergoing chemotherapy experience minimal or no side effects. In Lucy’s case, her tumor resolved completely within two weeks of starting treatment, and she continued chemotherapy for about a year, and her lymphoma went into remission.

A Second Cancer Diagnosis
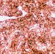
While being treated for lymphoma, Lucy developed two additional masses—one on her chest and another near her Achilles tendon. These were identified as mast cell tumors, a type of skin cancer.
The Achilles tendon tumor was left alone and monitored because it would have required an amputation to remove, but it remained stable. The chest tumor, however, began to grow aggressively in December 2012 and was surgically removed. Testing confirmed it was a Grade II mast cell tumor, which has an intermediate level of aggressiveness.
Prognostic Panels for Mast Cell Tumors
When faced with mast cell tumors, veterinarians often use additional molecular tests to better understand how aggressive the tumor is. These tests include:
- Mitotic Index: Measures how quickly tumor cells are dividing. A higher index usually means a more aggressive cancer.
- AgNor and Ki-67 Levels: Indicators of how active the cancer cells are.
- C-kit Mutation Analysis: Determines whether the tumor has specific genetic changes that might make it more aggressive.
In Lucy’s case, these tests suggested her tumor might behave aggressively. Based on this, her oncologist recommended chemotherapy with vinblastine, a drug commonly used to treat mast cell tumors.
Targeted Therapy with Toceranib
When Lucy’s mast cell tumor recurred in 2013, it was surgically removed again, and she began treatment with toceranib (Palladia®). This medication is a type of targeted therapy that blocks signals tumors need to grow and spread.
Toceranib not only targets cancer cells but also reduces the blood supply tumors rely on to survive. Thanks to this treatment, Lucy’s tumor did not return or metastasize.
Molecular Diagnostics and Their Role in Oncology
Advanced diagnostic tools like ICC, IHC, flow cytometry, and PARR allow veterinarians to:
- Make Accurate Diagnoses: Pinpointing the exact type of cancer ensures pets receive the best possible care.
- Provide Prognostic Data: Helping pet owners understand what to expect and plan for.
- Monitor Treatment: Checking for signs of cancer returning or changing during treatment.
These tools ensure treatment plans are personalized, improving outcomes and giving pets like Lucy the best chance at a long and happy life.
Consulting with a Veterinary Oncologist
Veterinary oncologists are specially trained to diagnose and treat cancer in animals. At Boundary Bay Veterinary Specialty Hospital, our board-certified oncology specialists bring years of advanced education, and clinical experience to each case. When you consult with an oncologist at BBVSH, you can expect:
- A clear explanation of your pet’s diagnosis and treatment options
- A personalized treatment plan tailored to your pet’s specific cancer and overall health
- Ongoing monitoring and adjustments to the plan as needed based on how your pet responds
- Collaboration with your primary care veterinarian and other BBVSH specialists for seamless, whole-pet care
Cancer treatment can be overwhelming, but you don’t have to face it alone. Our oncology team is here to guide you with evidence-based recommendations, supportive care, and a commitment to improving your pet’s quality of life.
Key Takeaways for Pet Owners
- If your veterinarian recommends removing a mass or tumor, always request histopathology—this test confirms the type of cancer and whether it was completely excised.
- A cancer diagnosis doesn’t mean there are no options. Many cancers in pets are treatable, and modern therapies can often extend life while keeping pets comfortable and happy.
- Age is not a diagnosis. Older pets frequently tolerate treatments like chemotherapy better than most people expect.
- Chemotherapy doesn’t have to be a long-term commitment—if your pet doesn’t respond well, the treatment can be stopped at any time.
At BBVSH, our goal is to give you the information, support, and care you need to make the best decisions for your pet—and to help you feel confident that you’re not navigating this journey alone.
Lucy’s Legacy
Lucy’s story shows how advanced diagnostics and personalized care can transform outcomes for pets with cancer. Thanks to these tools and the dedication of her veterinary team, Lucy overcame multiple cancers with an excellent quality of life.
